Patient Services
Veneers
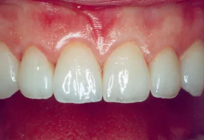
Dental veneers offers the ultimate in esthetics. A veneer is a thin facing or covering that bonds to the natural tooth structure. A much more conservative alternative to crowns (caps) that can give you the smile you have always dreamed of and deserve.
Veneers are top line in cosmetic dentistry. If your teeth are chipped, broken, or discolored, porcelain veneers are a great way to change the color and shape of your teeth. Veneers can be a great alternative to braces for slight orthodontic problems and provide a beautiful smile in a short amount of time. The results are simply gorgeous!

