Patient Services
Tooth Colored Fillings
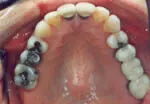
Composite resins, inlays and onlays are tooth-colored restorations that are used in place of silver fillings on the chewing surfaces of back teeth. Unlike silver fillings made from metals that may cause further damage to teeth, these cosmetic fillings look extremely natural and typically require that far less of the tooth be removed.

